This article was inspired by the recent experience of my Son following a nasty comminuted fracture to his left radial bone. The hospital care was kindly but lacking in so many ways, especially with hands-on care. I began work immediately on his arm. The whole thing had almost been wrenched off at the elbow. The upper part of the radius had to be replaced by a metal implant. After three months of my work, the surgeon stated that it was a 'miracle cure thanks to the work of his Father'. He was truly surprised by the progress. This made me think about all of the people out there who don't get my sort of help, faced with the usually poor quality help on offer. Therefore, this article is for your edification and is to encourage you all to do something about it when you have suffered a fracture anywhere in the body!
What is Bone?
Our skeleton is composed of 206 bones. Some of which are much more likely to fracture than others.
Our bones are made of calcium, phosphate, collagen, and water. Bone is among the strongest materials created by nature. Prior to birth and for several months after birth, the skeleton has very little bone. Many bones start out as cartilage and as a child grows, cartilage transforms into true bone (a process called endochondral ossification). Early in life, more bone tissue is added than is taken away. Maximum bone density and strength is reached between ages 25 and 30.
In addition, bones are surprisingly light, accounting for only 14% of total body weight, or maybe 20 pounds. Bones are a storehouse of minerals. They hold 99% of the body’s calcium, 86% of its phosphate, and 54% of our magnesium. These minerals are stored in the bones and are continually released into the bloodstream to maintain the body's chemical balance within the cells.
Fractures, or broken bones, are extremely common. Approximately 6.8 million Americans break a bone each year. On average, every person in the United States will experience two broken bones over the course of a lifetime.
The most frequent cases of post-fracture rehabilitation that have been presented to me are:
The arm, clavicle, elbow, radial head, ribcage mostly in the midribcage from the 6th rib downwards.
The wrist, radius, ulna, carpal bones (mostly the Scaphoid) and the finger bones.
The ankle including the tibia, fibula, 5th metatarsal, 3rd metatarsal, talus and toe bones.
The spine, compression fractures, fracture of the spinous processes, atlas-axis fractures.
Skull fractures and compression fractures of the sutures.
How Do Bones Break?
Bones are made up of bone cells, proteins, and minerals. Although your bones are amazingly tough - one cubic inch can withstand loads of almost 19,000 pounds, about four times the strength of concrete – they can still break. Like a wooden pencil, bones can bend to a certain extent, however, once the pressure is too much or too sudden, your bone might break, or fracture.
There's more than one type of fracture. A fracture can be anything from a hairline fracture (a very thin break in the bone) to the bone being broken into two or more pieces.
Fractures can occur in the following ways:

Open (compound) Fracture:
A fracture in which the bone is sticking through the skin, also called an open fracture.

Compression fracture:
Under tremendous force such as falling onto your head or putting your hand out to stop yourself from falling over, a bone can 'squash' or 'crush' across their transverse plane.

Stress fracture:
Where a muscle has contracted so hard and its attachment so broad that instead of pulling out a chunk of bone like the avulsion fracrue, it levers the bone so strongly that the bone snaps. Most common in weight lifters.

Avulsion fracture:
This occurs at the attachment of muscle or ligament to its boney anchoring point. Over strong and sudden extreme effort by the muscles can tear away form the bone. Over stretched suddenly the ligaments can tear away from the bone. Often leaves an outgrowth of bone behind.

Greenstick Fracture:
The bone cracks one side only, not all the way through (like when trying to bend a living stick
on a tree), usually only seen in children due to the softness of their bones
How Do Broken Bones Heal?
If a fractured bone is to resume its normal function, it must be repaired. Your bones are natural healers. At the location of the fracture, your bones will produce many new cells and tiny blood vessels that rebuild the bone. Fragments of broken bone are removed from the site by osteoclasts, specialized bone cells that dissolve and reabsorb the calcium salts of nonliving bone matter. Then special bone cells, called osteoblasts, activate to produce new material which “knits” the ends of the bone together. Most fractures repair themselves within six weeks. Some bones, however, have a poor blood supply and repair takes longer. These include the neck of the femur and the lower portion of the tibia.
What happens to the soft tissues involved in fractures?
They get torn, strained, swollen, inflammed, shortened, weakened, develop scar tissue and restrict the range of movement.
What is a joint adhesion?
Where inflammation occurs close to or around a joint, adhesions are most likely to occur. The inflammatory process produces what are called 'inflammatory exudates'. These exudates are 'sticky' and are there to 'glue' everything back together again following trauma. Thus, if an area of stiffness is left too long following trauma it is quite likely to become more tightly glued together. The body takes away most of the stickiness naturally but only in the prescence of movemnet. Movement supplies the impetus for the removal of the stickiness. Also when a joint has become swollen following trauma the synovial fluid, as well increasing its volumw will make the joint sticky. In the case of joints, they can easily lose their range of movement, either permanently or temporarily depending on the degree of swelling, damage and lack of mobilisation exercises. In the case of an ankle or scaphoid fracture the need for joint articulation by an expert is often essential for complete recovery of movement.
How long does it take to regain mobility, or is it a lost cause?
Whilst repairing itself, the body tells us to move areas which are stiff. Sometimes we find that we cannot obtain any improvement beyond a certain point. Either the joint becomes permanently seized up and we accept it or we can seek extra help from someone like me. The time taken to regain full mobility varies very greatly. Frequently, the body tells us for years after an injury that it needs to move more fully. The lucky ones will have a full recovery within months. The smart ones will seek extra help, this accelerates the rate of recovery and improves the overall outcome in terms of the final available range of movement. The main techniques used are articulation, micro-articulation, myo-articulation, manipulation and specifically tailored progressive exercise regimes.
The long term effects of fractures
Permanent deformity, loss of movement range, muscle weakness, tendinitis and joint arthrosis.
A testimonial:
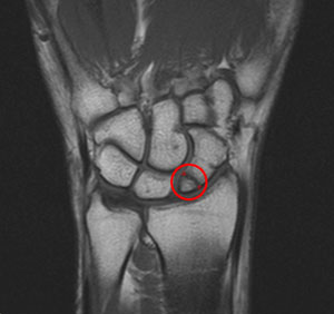
" I am a professional drummer and went to see Paul when I began to develop severe tension, numbness and shooting pains in the muscles along my forearm and in and around my wrist and thumb. Paul realised that my symptoms were probably due to a fractured Scaphoid bone (circled in red) in my wrist which had occured two years previously. I was getting these sensations every time I played and was in a lot of discomfort, practically unable to play. Paul realised that my symptoms were probably due to a fractured Scaphoid bone in my wrist which had occured two years previously.
On my first session with Paul, he listened closely to my description of the pain and tried to establish why it may have come about. He began work and was able to get to the root of the problem immediately.
After a single, very thorough session I had fantastic results and knew I had found the right man to help me get through this injury. The tension in my arm was massively reduced and the shooting pains all but gone. I was able to resume my practising and performing schedule straight away which was a huge relief. After 3 sessions with Paul my arm felt as good as new! Paul was also able to offer invaluable advice on how to avoid similar problems arising again.
I was extremely impressed with Paul's personal and sympathetic approach and delighted with the wonders he worked on the tension in my arm which I thought was going to keep me out of work for a LONG time . I would recommend him to anybody I know with any similar injuries".